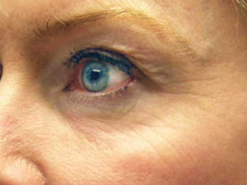
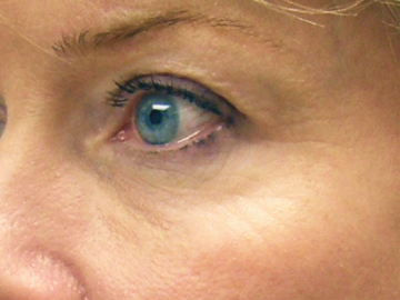
ThermiSmooth uses controlled radio frequency to safely produce excellent aesthetic outcomes through the application of the science of heat. ThermiSmooth heats the skin and stimulates the natural production of collagen. This helps revitalize, strengthen and tighten the skin around the mouth and eye area to improve its overall quality and appearance.
